Clareamento Dental

Realce o brilho natural do seu sorriso

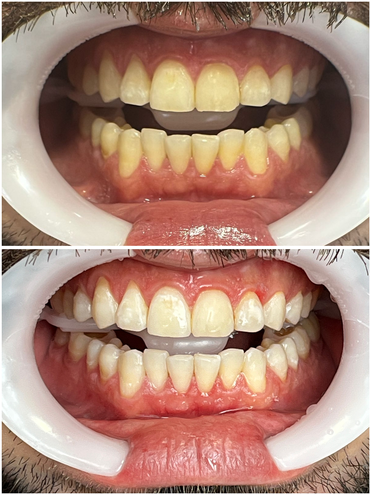
O que é o clareamento dental

O clareamento dental é um dos procedimentos estéticos mais procurados por quem deseja conquistar um sorriso mais branco, saudável e iluminado.

Com técnicas seguras e eficazes, ele remove manchas e pigmentações causadas por café, vinho, cigarro e o passar do tempo, devolvendo a cor original dos dentes sem comprometer sua estrutura.

O tratamento pode ser feito em consultório, com resultados imediatos, ou em casa, com acompanhamento profissional, garantindo segurança e personalização em cada etapa.

Por que escolher o clareamento dental

Um sorriso mais claro transmite confiança, autoestima e bem-estar.

O clareamento dental proporciona uma transformação visível em poucas sessões, mantendo a naturalidade e respeitando o tom ideal de cada paciente.

Vantagens do tratamento

  • Procedimento rápido, seguro e indolor;

  • Resultado perceptível já nas primeiras sessões;

  • Aumento imediato da autoestima;

  • Mantém a integridade e a saúde dos dentes;

  • Opções personalizadas conforme o seu estilo de vida.

Pronto para transformar seu sorriso?

Pronto para iluminar seu O sorriso?

Recupere a confiança e brilhe em cada momento do seu dia com um sorriso mais branco e radiante.